月額4,400円 (総額40~80万円)
の「マウスピース矯正」
世界シェアNO.1の
「インビザライン矯正」

純国産の
「アソアライナー矯正」

ドイツ製の
「シュアスマイル矯正」

患者さんのご要望、
そして歯の状態によって
メーカーを使い分けます。
- デンタルローンに対応(最大120回分割)
- 「前歯だけ」の部分矯正も可能
- ワイヤー矯正にも対応可




患者さんのご要望、
そして歯の状態によって
メーカーを使い分けます。












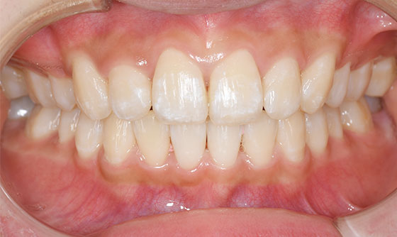
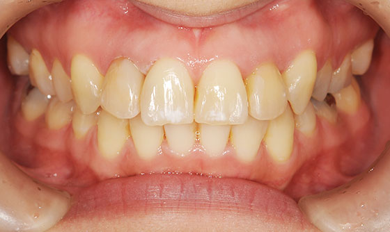
当院のマウスピース矯正はたくさんの方にご好評をいただいています。
その理由をご紹介します。

最近はマウスピース矯正が人気です。
それに伴ってたくさんのメーカーが誕生しています。

しかし、機能が限定的なものや粗悪品も多く、治療を開始したものの「全く歯が動きませんでした」となるケースも増えてきています。
数あるメーカーの中で臨床実績や技術力、性能などで、世界のドクターから評価を受けているメーカーは限られています。
当院では下記のメーカーを患者さんのご要望や歯の状態によって使い分けています。

「マウスピース型矯正装置」のパイオニア企業である、米国アライン・テクノロジー社が手掛ける製品です。
世界の100ヶ国以上で提供され、900万人を超える方がインビザラインによる治療を受けています。
次のような特徴があります。

iTeroという装置を利用することで、治療前の段階で、あなたの歯並びがどのように変化するのかをご確認いただくことができます。また、従来までは「型取り」という工程がありました。大きな印象材というものをお口の中に入れ、歯型を取る工程です。患者さんからすると苦しい工程で、嘔吐反射が強い方にとっては大変な工程でした。しかし、iTeroは「お口をスキャン」する形ですので、従来のような負担は大幅に軽減されています。

歯並び全部の矯正だけでなく、例えば、前歯のすきっ歯、捻じれ、出っ歯だけなど、気になる部分だけを整えることもできます。

マウスピース矯正のメーカーによっては、「治療できる歯並び、できない歯並び」が明確に分かれます。そのため、ある医院では「この歯並びはマウスピース矯正はできないです・・・」と言われた場合でも、適応ケースが広いインビザラインでは対応できるケースもあります。

38年の歴史がある、日本のマウスピース矯正のパイオニアAsoAligner®。日本だけでなく、海外からも評価が高いメーカーです。部分的な矯正に特化したメーカーです。

ドイツの医療メーカー、シロナ社製のマウスピース矯正装置です。現在の歯の状態をデジタルデータ化し、テクノロジーを応用した治療計画を立てることができます。

マウスピース矯正は、AI制御で装置を製作できます。
そのため従来のワイヤー矯正に比べて、知識・経験・技術力が浅い歯科医師でも治療できるようになっています。
しかし、AIも完璧ではありません。
時には人による微調整が必要になるケースもあります。
その微調整ができない歯科医院がマウスピース矯正に参入し始めたことで、最近では「歯が思った通りに動かない」「動いたけど元に戻ってしまった」という相談が増えてきています。
そうならないためにも、治療前にクリニックの実績や症例を確認しておくことをおすすめします。


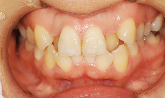
現在の歯並びによっては、治療後にフェイスライン/Eラインが綺麗になる場合があります。フェイスラインと聞くと「美容外科」を思い浮かべるかもしれません。
ですが、歯並びの状態によっては、矯正歯科治療も選択の1つになります。美容外科と矯正歯科の違いは以下の通りです。
| 費用 | 治療期間 | 体への負担 | 見た目 | 持続性 | |
|---|---|---|---|---|---|
矯正治療![]() | 数十万~90万以内 | 1年~2年半 | 小さい | 自然な変化 | 治療後はその状態を維持できる |
美容整形![]() | 数十万~100万以上 | 数日~数ヶ月 | 大きい | 不自然になってしまう可能性あり | 施術内容によっては永続性がない |
美容外科は「治療期間が短い」ですが、「費用が高い」「身体への負担が大きい」「永続性がないケースもある」方法になります。
矯正治療は、「治療期間が長い」ですが美容外科と比較して費用が少なく、何よりも本来持っているご自身の美しさを引き出す治療になります。
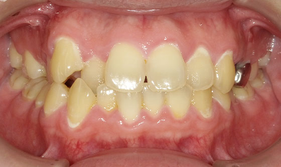
「前に治療した歯並びが戻ってきてしまいました……」。
このような方の再治療にも対応しています。

もしかしたら、このような不安もあるかもしれませんが、どうかご安心ください。
後戻りした歯の多くは部分的な矯正で済むことが多いため、費用は抑えられますし、治療も数か月で終了するケースもあります。
治療費や治療期間は、治療開始前に包み隠さずお伝えしていますので、このような悩みがある方は、まずはご相談ください。

矯正治療を行っている歯科医院は2つに分かれます。
それぞれの違いをまとめました。
| 専門性 | 抜歯 | 虫歯/歯周病治療 | 1つの医院で完結 | |
|---|---|---|---|---|
| 矯正「専門」医院 | ◎ | × | × | × |
| 「総合」歯科医院 | 〇or△ | 〇 | 〇 | 〇 |
従来のワイヤー矯正は歯科医師の技術によって差が出やすいですが、マウスピース矯正はAIが装置を製作するため、歯科医師の力量に左右されにくいという特徴があります(しかし経験が少ない場合は△)。
矯正専門医院では虫歯や歯周病の治療に対応できないことが多いです。もし矯正中に治療が必要になった場合は、他の歯科医院を紹介されることになります。「総合歯科医院」なら虫歯・歯周病・抜歯もすべてその医院で行えます。
総合歯科であれば、たいていの場合は1つの医院で完結します(難症例の場合は矯正専門医院に紹介されることはあります)。患者さんの目的によって選ぶべき医院は異なりますので、ご自身の価値観に合わせた医院選びを行ってください。
当院では、患者さんが抱えていらっしゃるお口のお悩みや疑問・不安などにお応えする機会を設けております。どんなことでも構いませんので、私たちにお話ししていただけたらと思います。
ご興味がある方は下記からお問い合わせください。
